Krijg de tering! In Nederland is de kans groter dat je dit als verwensing naar je hoofd krijgt, dan dat je het echt hebt. De tering staat voor tuberculose, oftewel tbc. Vroeger ging je meestal dood als je het had. Nu is behandeling gelukkig mogelijk, maar de ziekte is nog steeds één van de dodelijkste infectieziekte ter wereld. Ook dieren kunnen tuberculose krijgen.In Nederland zijn er twee katten aan overleden door het eten van besmet rauw vlees. In dit geval bleven de baasjes ongedeerd, maar dit had anders kunnen aflopen. Hoe dat zit lees je in deze blog.
Wat krijg je ervan?
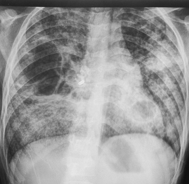
Lang niet iedereen die geïnfecteerd wordt met tbc wordt ziek. De bacteriën kunnen lang in een soort slaapstand blijven en bij een lage weerstand toeslaan. Áls je ziek wordt, dan wordt je ook echt goed ziek. De meest voorkomende vorm is longtuberculose, waarbij er gezwellen (tuberkels) met een soort witte pus in je longen ontstaan. Een belangrijk symptoom is hoesten. Daarnaast kan je last hebben van nachtzweten, vermageren en koorts. De gezwellen kunnen ook in andere organen in je lichaam ontstaan, waardoor deze aangetast worden.
Hoe loop je het op?
Zoals we in de cliffhanger in de intro al lieten doorschemeren kan je tbc van dieren krijgen. Met name koeien en dassen zijn berucht voor het krijgen van tbc. In dierentuinen, waar nog wel eens een uitbraak is, wordt er standaard op getest bij een groot aantal diersoorten wanneer ze binnenkomen. Andersom geldt overigens ook dat wij mensen dieren kunnen besmetten met tbc. In de meeste gevallen krijg je als mens tbc van een soortgenoot met open tbc. Bij open tbc is een tuberkel in verbinding met de buitenwereld, meestal via je luchtwegen. Als iemand met open tbc hoest of praat met consumptie, hoef je maar een paar bacteriën in te ademen om besmet te worden. Tuberculose kan je ook oplopen in de vorm van een SOA. De persoon waarmee je seks hebt heeft dan de genitale variant, brrrr. Bij gesloten tbc is er geen verbinding met de buitenwereld en dus geen besmettingsgevaar.
Hoe weet je of je het hebt?
In Nederland zijn de meeste mensen met tuberculose besmet geraakt in het buitenland. Met name in Afrika en Azie komt tuberculose veel voor. Dit heeft onder andere te maken met het grote aantal hiv-patiënten daar. Door hiv ben je extra vatbaar voor tbc. Dus ben je in het buitenland geweest en lange tijd ziek met aanhoudende hoest is het zeker verstandig naar de huisarts te gaan. De diagnose wordt gesteld door de mantoux-test. Wanneer er iemand in je omgeving tuberculose heeft, dit kan een collega zijn, maar ook iemand die in dezelfde supermarkt heeft gewinkeld, kan de GGD een oproep doen om je te laten testen. Ook als je niet ziek bent, kan je toch de bacteriën bij je dragen en moet je behandeld worden.
En dan?
De behandeling van een tuberculose infectie is een zware antibioticakuur van zes maanden. Helaas komt er steeds meer resistentie voor tegen de huidige antibiotica die hiervoor gebruikt worden. Mensen met een resistente vorm moeten hele zware antibiotica voor nog langere tijd krijgen. De antibioticakuren hebben veel bijwerkingen. Resistentie ontstaat omdat mensen te vroeg met de kuur stoppen, onder andere omdat de kuur zo lang en heftig is. Inmiddels komt er ook een soort super resistente vorm voor, dit vraagt een intensieve langdurige behandeling in het ziekenhuis die niet altijd slaagt.
Help ik wil geen tbc!
Helemaal voorkomen kan je het nooit. Ga je op reis naar een hoog risicogebied dan kan je je laten vaccineren. Verwen je huisdier liever met een lekkere brok dan met rauw vlees en dan heb je in Nederland de risico’s aardig onder controle.
